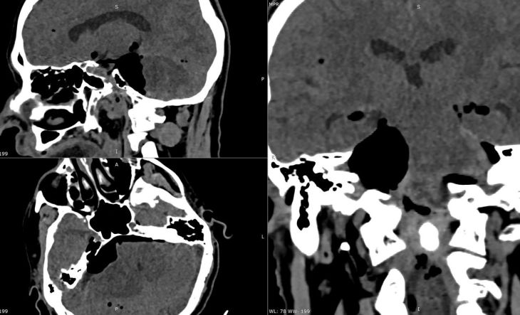
В Крыму нейрохирурги удалили у пациента гигантскую опухоль мозга.
Она выросла в крошечном пространстве у основания черепа, где буквально «упакованы» жизненно важные структуры: нервы, отвечающие за мимику, зрение, глотание, дыхание, а также сам ствол мозга — центр управления жизнью.
Опухоль размером с орех уже сдавливала ствол мозга — центр дыхания и сознания, кроме того, возникал риск смертельно опасного повышения давления в черепе, сохранялась угроза необратимого паралича лицевого нерва уже страдали функции глотания и речи.
«При таких размерах опухоль буквально расплющивает всё вокруг. Многие пациенты годами игнорируют первые симптомы — шум в ухе или снижение слуха, считая их безобидными. Однако за этим может скрываться серьёзная патология. Опухоль удалили, сейчас состояние пациента стабилизируется», - сообщил нейрохирург центра ФМБА Андрей Ситников.







































