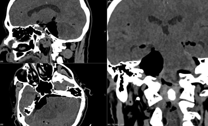
Опухоль, образовавшуюся возле жизненно важных структур мозга пациента, удалили специалисты Федерального медико-биологического агентства.Новообразование занимало четверть самого глубокого отдела внутреннего основания черепа. Без...
Новости за 01.04.2026
Крымчанин, не имея лицензии, продал нож, "изготовленный промышленным способом", сообщает прокуратура Крыма. "В одном из торговых павильонов с целью продажи он разместил 4 ножа, которые также относятся к клинковому холодному...
.. MAX. Пользователи жалуются, что не работают сообщения и не подгружаются медиа. А как у вас работает национальный мессенджер?
Объект для обновления ранее выбрали сами жители города в ходе голосования. Ожидается, что общественная территория будет готова уже к 1 июня.В сквере уложат тротуарную плитку, смонтируют современную систему...
В пожарно-спасательные подразделения ГУ МЧС России по Республике Крым приглашаются на службу граждане Российской Федерации, соответствующие следующим требованиям:годность к службе по состоянию здоровья;отсутствие судимости;наличие военного...
Продолжается системная работа Правительства РФ по совершенствованию контрольно-надзорной деятельности в России.Одобрен закон, направленный на защиту органов местного самоуправления от необоснованных проверок.При осуществлении государственного контроля...
Севастополь Об этом в эфире радио "Спутник в Крыму" рассказала директор Центра поддержки экспорта РК Ксения Слуцкая. "Сейчас вернулись с выставки из Турции. Кроме того, есть интерес со стороны стран Африки, но там свои риски", – отметила...
С сегодняшнего дня на территории республики установлен пожароопасный сезон. Введённые ограничительные меры не устанавливают ограничения на посещение лесных массивов, однако, в этот период важно строго соблюдать правила пожарной безопасности....
Евпатория «Работодатели готовы забирать обучающихся уже с третьего курса, хотя нам это не всегда нравится, ведь хочется завершить программу обучения», — отметил начальник студенческого конструкторского бюро КИПУ имени Февзи Якубова...
Строительные работы ведутся в селе Маслово.«Заявлено, что допустимая нагрузка на ось увеличится с 10 тонн до 50 тонн. Кроме того, конструкция моста станет более пологой — это техническое решение направлено на повышение удобства и...
Чистота начинается с нас!В Черноморском районе дан старт весеннему сезону наведения порядка. Коллективы организаций и предприятий дружно вышли на уборку закрепленных территорий.Не остались в стороне и сотрудники администрации Черноморского...
Черноморское С 1 апреля социальные пенсии крымчан будут проиндексированы на 6,8%Отделение СФР по Республике Крым проведет проактивную индексацию социальных пенсий, включая государственные. Это значит, что крымчанам не нужно никуда обращаться или подавать заявление...
Первомайское Связь с военно-транспортным воздушным судном потеряли во время планового перелета еще вчера около 18:00.Как сообщали в Минобороны РФ, поражающего воздействия по самолету не было.Судьба экипажа была неизвестна до сегодняшнего утра. По...
Государственную награду вручил начальник Черноморского высшего военно-морского училища имени Нахимова, контр-адмирал Александр Гринкевич.Алексей проявил мужество при удержании позиций в населённом пункте Работино во время летнего...
Севастополь Психолог Анастасия Титкова подчёркивает необходимость пересмотра критериев и норм определения травли и конфликта, отмечая ключевую роль психологической характеристики ситуации.«Конфликт — это два-три человека, тогда как буллинг — уже...
Она выросла в крошечном пространстве у основания черепа, где буквально «упакованы» жизненно важные структуры: нервы, отвечающие за мимику, зрение, глотание, дыхание, а также сам ствол мозга — центр управления жизнью.Опухоль размером с орех уже...
Житель региона, не имея лицензии на торговлю холодным оружием, находясь на территории города Армянска, за денежное вознаграждение сбыл нож, изготовленный промышленным способом, который относится к клинковому холодному оружию.В одном из...
Принял участие в очередном пленарном заседании Совета Федерации Российской Федерации, которое прошло председательством Валентины Ивановны Матвиенко.В начале заседания перед сенаторами выступила Председатель Ассамблеи Республики...
Некоторые россияне получат прибавку к пенсиям.В российских школах стартует прием заявлений о зачислении первоклашек.В малых городах появятся территории для выгула собак.Ипотеку смогут взять только граждане с "белой" зарплатой, зато микрозаймы станут...
Глава администрации Александр Юрьев: max.ru/id237383764Администрация города Евпатории: max.ru/my_evpatoria
Евпатория Лента новостей
О работе транспорта в поминальные дни
Симферополь- 10:00 Со стороны Тамани очереди перед пунктом ручного досмотра нет. В очереди на ручной досмотр со стороны Керчи находится 177 транспортных средств.// КРЫМСКИЙ МОСТ: оперативная информация






































